Un estudio científico revela que la causa del Alzheimer podría provenir de tu boca
Martes 11 de
Julio 2023

El Alzheimer, una enfermedad degenerativa que ataca al cerebro, quitándole lentamente la capacidad para retener la memoria y de las habilidades cognitivas como pensar, recordar y razonar. Esta enfermedad, por lo general, lo padecen pacientes adultos o de la tercera edad.
La National Institute on Aging (NIH) nos dice en un artículo acerca del Alzheimer, durante todos estos años de estudios, aún no quedan esclarecidas cuáles son las razones que causan esta enfermedad, sin embargo, claro que ha habido avances, teorías que tratan de explicar el origen de este padecimiento.
Se toman en cuenta muchos factores al momento de tratar de explicar al Alzheimer, factores ambientales y de estilo de vida, sin mencionar que también pueden existir causas genéticas. A este último factor, se suele asociar al Alzheimer de inicio temprano.
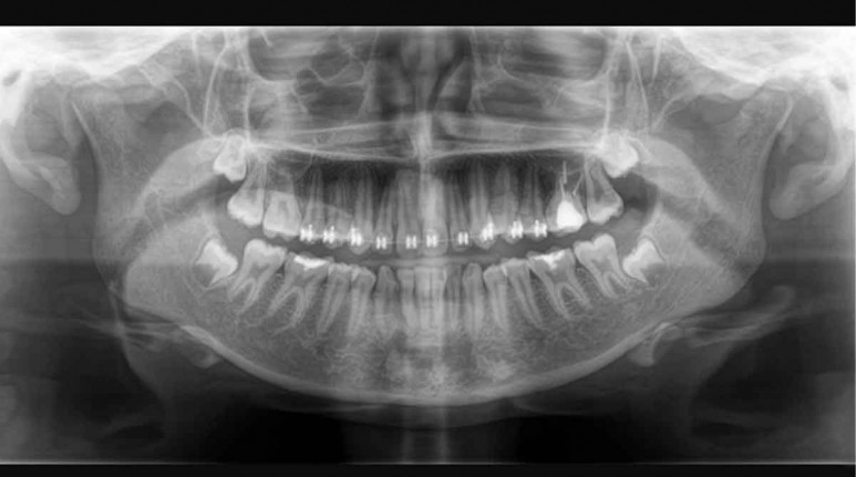
Sin lugar a dudas, existen muchos factores que pueden causar esta enfermedad, pero en años recientes, se han encontrado similitudes en algunos estudios del Alzheimer y un patógeno que se encuentra en la Periodontitis crónica, o enfermedad de las encías, este agente microbiano fue llamado Porphyomonas gingivalis. Este patógeno también fue encontrado en cerebros de personas que padecían Alzheimer.
El Dr. David Reynolds, el director científico del Alzheimer’s Research UK, menciona que ‘‘Anteriormente, la bacteria P. gingivails asociada con la enfermedad de las encías se habría encontrado en el cerebro con Alzheimer, pero aún no está claro qué papel, si es que tiene alguno, juega en el desarrollo de la enfermedad’’, en resumen, aunque se hayan encontrado similitud en que ambas enfermedades provocan invasión en el cerebro, aún hay más pruebas por hacer. También se detectaron niveles altos de amiloide, esta proteína es distintiva del Alzheimer.
Para esto, los investigadores llevaron a cabo un experimento en donde a cierta cantidad de ratones se les infectó con P. gingivalis y se les proporcionó un fármaco que ataca la acumulación de amiloide.
Después de años sin una medicina nueva contra el Alzheimer, este nuevo fármaco obtuvo buenos resultados en los ratones, y debido a este mismo estancamiento es de suma importancia abordar cada opción posible para entender como atacar esta enfermedad, por ende, este es un buen paso hacia un futuro tratamiento para esta enfermedad degenerativa.
Descubrir esta relación es una sólida prueba de que hay una oportunidad de investigación, y si bien antes no existían indicaciones suficientes para impulsar su estudio, al día de hoy la casualidad se dejó de lado y la comunidad científica ha puesto manos a la obra. Incluso, para reafirmar la importancia de realizar más estudios, el equipo que lleva la investigación también encontró enzimas tóxicas, gingipainas, estas sustancias son originadas por las bacterias que alcanzan el cerebro de una persona con Alzheimer, y se le relacionan con un par de proteínas encontradas en esta enfermedad (Tau y ubiquitina).
También se ha encontrado evidencia de gingipainas tóxicas en cerebro de personas fallecidas, pero que nunca fueron diagnosticadas con Alzheimer. Ahora bien, nunca se ha sabido si la relación es que la demencia conduce a un deficiente cuidado bucal, o si la infección P. gingivalis produce Alzheimer.
Se toman en cuenta muchos factores al momento de tratar de explicar al Alzheimer, factores ambientales y de estilo de vida, sin mencionar que también pueden existir causas genéticas. A este último factor, se suele asociar al Alzheimer de inicio temprano.
Sin lugar a dudas, existen muchos factores que pueden causar esta enfermedad, pero en años recientes, se han encontrado similitudes en algunos estudios del Alzheimer y un patógeno que se encuentra en la Periodontitis crónica, o enfermedad de las encías, este agente microbiano fue llamado Porphyomonas gingivalis. Este patógeno también fue encontrado en cerebros de personas que padecían Alzheimer.
El Dr. David Reynolds, el director científico del Alzheimer’s Research UK, menciona que ‘‘Anteriormente, la bacteria P. gingivails asociada con la enfermedad de las encías se habría encontrado en el cerebro con Alzheimer, pero aún no está claro qué papel, si es que tiene alguno, juega en el desarrollo de la enfermedad’’, en resumen, aunque se hayan encontrado similitud en que ambas enfermedades provocan invasión en el cerebro, aún hay más pruebas por hacer. También se detectaron niveles altos de amiloide, esta proteína es distintiva del Alzheimer.
Para esto, los investigadores llevaron a cabo un experimento en donde a cierta cantidad de ratones se les infectó con P. gingivalis y se les proporcionó un fármaco que ataca la acumulación de amiloide.
Después de años sin una medicina nueva contra el Alzheimer, este nuevo fármaco obtuvo buenos resultados en los ratones, y debido a este mismo estancamiento es de suma importancia abordar cada opción posible para entender como atacar esta enfermedad, por ende, este es un buen paso hacia un futuro tratamiento para esta enfermedad degenerativa.
Descubrir esta relación es una sólida prueba de que hay una oportunidad de investigación, y si bien antes no existían indicaciones suficientes para impulsar su estudio, al día de hoy la casualidad se dejó de lado y la comunidad científica ha puesto manos a la obra. Incluso, para reafirmar la importancia de realizar más estudios, el equipo que lleva la investigación también encontró enzimas tóxicas, gingipainas, estas sustancias son originadas por las bacterias que alcanzan el cerebro de una persona con Alzheimer, y se le relacionan con un par de proteínas encontradas en esta enfermedad (Tau y ubiquitina).
También se ha encontrado evidencia de gingipainas tóxicas en cerebro de personas fallecidas, pero que nunca fueron diagnosticadas con Alzheimer. Ahora bien, nunca se ha sabido si la relación es que la demencia conduce a un deficiente cuidado bucal, o si la infección P. gingivalis produce Alzheimer.
El Gobierno define cómo enfrentar los ruidos internos en una semana clave para la economía y el alineamiento regional
En medio de la polémica con Adorni y la delegación del avión presidencial, en Casa Rosada celebran el alcance del Argentina Week, el evento que busca atraer inversiones. La presencia de Milei en la jura de Kast y la sintonía con Bolsonaro y Trump
La suba de la nafta presiona a la inflación de marzo y deja sin margen al Gobierno para inyectar pesos en la economía
El precio del barril sigue aumentando y en el mercado local los incrementos ya superan el 8% en el mes. El Tesoro buscaría refinanciar vencimientos en la licitación de hoy para mantener a raya la cantidad de dinero
El INDEC da a conocer hoy la inflación de febrero: el dato que esperan las consultoras y qué rubros ponen presión
Tras varios meses con variaciones superiores al 2%, los analistas anticipan que el IPC será similar al de enero. Estiman una fuerte incidencia de los aumentos en carnes y servicios regulados.

Suscribite!
Y recibí las noticias más importantes!
Y recibí las noticias más importantes!
Nota22.com
Conducen: Maxi Romero y Carlos Renna
LO MÁS VISTO
Pullaro desgasta rápidamente a los suyos: ¿el motivo?
No alcanzó con reformar la Constitución para asegurar la posibilidad de la reelección del Gobernador ¿Por qué desgasta políticamente a los propios? Sectores del socialismo analizan alejarse del frente oficialista. Mientras tanto muestran los dientes y enojo en algunos proyectos en trámites en la Legislatura.
ANSES confirmó que en marzo de 2026 se aplicará un aumento del 2,88% en la AUH y el SUAF. La actualización responde a la fórmula de movilidad que ajusta los montos según la inflación. El incremento busca reforzar el poder adquisitivo de las familias beneficiarias en un contexto de suba de precios.
También advirtió que la oposición "No me va a llevar puesto como a Macri".
La denominada "ley de modernización laboral" fue publicada en el Boletín Oficial a través del Decreto 137/2026.




